Đánh răng thông thường không thể lấy hết được mảng bám trên răng, lâu dần tích tụ thành vôi răng. Làm sạch cao răng bằng cách cạo vôi răng, đánh bóng bằng dụng cụ nha khoa chuyên biệt là cách nhiều người thường làm. Nhưng, lấy cao răng có hại không? Lấy cao răng như thế nào mới tốt? Cùng tìm hiểu qua bài viết dưới đây.
Nội dung chính
Cao răng là gì?
Cao răng, hay còn gọi là vôi răng, là những mảng bám, thức ăn dư thừa hàng ngày, bám dính ở phần thân răng và nướu răng mà việc vệ sinh răng miệng khó có thể làm sạch. Theo thời gian lâu dần, các mảng bám này sẽ bị vôi hóa, bám chặt vào bề mặt răng. Khiến chúng ta không thể làm sạch bằng cách đánh răng thông thường mà phải nhờ sự can thiệp của các dụng cụ nha khoa chuyên biệt.

Cao răng gây ảnh hưởng thế nào đến sức khỏe răng miệng?
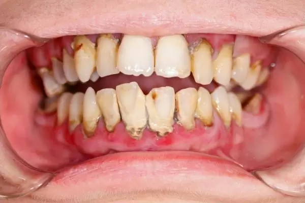
Bạn có thể nhìn thấy rõ cao răng là những mảng bám màu vàng nhạt hay vàng sẫm tích tự bên trên hoặc dưới lợi, chúng bám quanh chân răng. Nhưng phần cao răng dưới lợi có màu nâu, bị lợi che phủ là phần mà mắt thường không thể thấy được, chỉ khi đi thăm khám mới được phát hiện.
Vôi răng, cao răng ảnh hưởng trực tiếp đến răng và nướu, cụ thể như sau:
– Vôi răng là tập trung nhiều vi khuẩn lên men làm hỏng men răng. Và là nguyên nhân trực tiếp gây nên tình trạng sâu răng.
– Gây hôi miệng, khiến chúng ra mất tự tin trong giao tiếp hằng ngày.
– Gây ê buốt, khó chịu khi ăn uống
– Khó khăn trong việc vệ sinh răng miệng
– Là nguyên nhân chính gây chảy máu, sưng, tụt nướu làm lộ chân răng.
– Gây tình trạng viêm nha chu, tiêu xương ổ răng và một số bệnh về răng miệng, vòm họng như: viêm amidan, viêm niêm mạc họng, viêm họng, hôi miệng,…
– Ảnh hưởng lớn đến thẩm mỹ của hàm răng do những mảng vôi răng có tính xốp, màu vàng đậm hơn so với răng thật. Nên khi nói hoặc cười sẽ dễ bị lộ ra, khiến người đối diện chú ý.
Lấy cao răng có hại không? Định kỳ như thế nào là phù hợp?
Dù biết răng cao răng gây ảnh hưởng trực tiếp đến sức khỏe răng miệng. Nhưng nhiều người lại lo sợ việc lấy cao răng sẽ loại bỏ đi một lớp cao bám trên bề mặt. Điều này khiến răng bị mòn, yếu, mất men răng,… Do đó, khi nhắc đến lấy cao răng, họ luôn băn khoăn rằng: “Lấy cao răng có hại không? Có ảnh hưởng gì không?”.
Trên thực tế, việc lấy cao răng định kỳ là cách để bảo vệ sức khỏe răng miệng mà các chuyên gia luôn khuyên mọi người nên áp dụng. Lý do là vì:
– Đánh răng hàng ngày không thể loại bỏ hoàn toàn mảng bám còn sót lại và không thể làm sạch cao răng.
– Lấy cao răng định kỳ là cách giúp bạn loại bỏ nguy cơ mắc các bệnh về răng miệng như: Viêm tủy răng, viêm nha chu, viêm nướu, sâu răng, tiêu xương ổ răng, hôi miệng, hơi thở có mùi,…
– Giúp bạn tự tin, rạng ngời trong giao tiếp với hàm răng sạch và hơi thở thơm tho.
Những lưu ý khi lấy cao răng
Việc lấy cao răng là cần thiết để đảm bảo sức khỏe răng miệng. Tuy nhiên, chúng ta tuyệt đối không nên lạm dụng lấy cao răng quá nhiều lần và thực hiện không đúng kỹ thuật. Điều này sẽ dẫn đến tổn thương chân răng, chảy máu và nhiều vấn đề khác. Định kỳ chỉ định cho việc lấy cao răng được các bác sĩ nhắc đến cụ thể như sau:
– Lấy cao răng 6 tháng/lần trong điều kiện phải vệ sinh răng miệng tốt, ít cao răng.
– Với những người sử dụng thuốc lá, rượu bia, ít vệ sinh răng miệng,… Khiến mảng bám trên răng quá nhiều thì nên lấy cao răng 3 – 4 tháng/lần.
– Với trẻ em dưới 10 tuổi, trước khi lấy cao răng nên được thăm khám kỹ lưỡng. Thực hiện cạo vôi răng nhẹ nhàng, tránh làm tổn thương đến răng lợi của trẻ.
Các cách phòng ngừa cao răng hiệu quả
Để hạn chế mảng bám tích tụ trên bề mặt răng gây nên cao răng, cần lưu ý một số vấn đề sau:
– Đánh răng 2 lần/ngày và sáng và tối trước khi đi ngủ. Sử dụng bàn chải lông mềm. Tránh dùng bàn chải cứng gây tổn thương răng và lợi.
– Sử dụng kem đánh răng có chứa Fluoride giúp phục hồi những tổn thương ở men răng và hạn chế hình thằng cao răng.
– Sử dụng nước súc miệng và nước muối sinh lý sau khi đánh răng. Điều này giúp làm sạch triệt để hơn các mảng bám còn sót lại trên răng sau ăn.
– Sử dụng chỉ nha khoa để loại bỏ và làm sạch sâu trong kẽ răng các mảng bám do thức ăn hàng ngày.
– Thăm khám răng miệng định kỳ ít nhất 6 tháng/lần.
– Hạn chế sử dụng bia rượu, cafe, thức ăn dẻo, nhiều đường, nước uống có ga,… làm răng bị xỉn màu.
Vậy, lấy cao răng có hại không? Câu trả lời là không. Ngược lại, việc lấy cao răng còn giúp chúng ta hạn chế được các bệnh về răng miện. Đồng thời tăng thẩm mỹ cho nụ cười và hàm răng của bạn. Cần kiểm tra định kỳ và lấy cao rằng 6 tháng/lần để sức khỏe răng miệng được đảm bảo nhất có thể.




