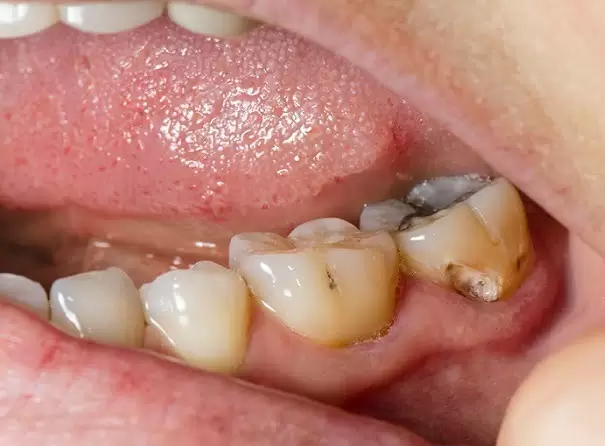
Răng sâu sẽ có nguy cơ lây lan và phá hủy răng lân cận nếu không can thiệp sớm. Lúc này, bọc sứ răng sâu là giải pháp hiệu quả giúp hạn chế nguy cơ này. Vậy bọc sứ răng sâu có cần thiết, ai cần bọc sứ răng sâu, quy trình thực hiện thế nào? Tất cả sẽ được bọc răng sứ thẩm mỹ giải đáp chi tiết, chính xác nhất qua bài viết ngay sau đây.
Nội dung chính
Bọc sứ cho răng sâu có cần thiết không?
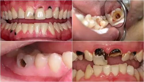
Hiện nay, có 2 phương pháp phục hình răng sâu phổ biến là trám răng và bọc răng sứ. Với trường hợp răng sâu nhẹ, ít tổn thương, bác sĩ sẽ chỉ định trám răng.
Tuy nhiên, trám răng chỉ là phương pháp giúp hạn chế sâu răng trong thời gian ngắn. Sau một thời gian, miếng trám sẽ bong nên vi khuẩn sẽ tiếp tục tấn công và gây bệnh. Còn với bọc sứ răng sâu, đây được xem là giải pháp hiệu quả tốt nhất. Phương pháp này mang đến nhiều lợi ích như:
- Cải thiện tính thẩm mỹ cho hàm răng. Trường hợp răng sâu gây sứt mẻ răng sẽ được khắc phục triệt để.
- Giúp phục hồi chức năng ăn nhai cho răng đã mất vì bị sâu. Sau khi bọc răng sứ, quá trình ăn uống sẽ được cải thiện đáng kể.
- Bọc sứ răng sâu có độ bền cao, răng không bị giòn hay vỡ như trám răng.
- Tuổi thọ của răng sứ cao, nếu biết cách chăm sóc có thể sử dụng đến suốt đời.
Như vậy, việc bọc răng sứ sâu là điều vô cùng cần thiết. Vừa giúp bảo vệ răng khỏi sự tấn công của vi khuẩn gây bệnh. Vừa mang đến tính thẩm mỹ cao, phục hồi chức năng nhai.
Tuy nhiên, các bạn nên đến các cơ sở nha khoa để được bác sĩ tư vấn. Tùy vào tình trạng sâu răng mà bác sĩ sẽ có lời khuyên phù hợp nhất.

Những trường hợp cần bọc răng sứ bị sâu hiện nay
Vậy những trường hợp nào nên bọc sứ răng sâu? Các bác sĩ cho hay, trường hợp nên bọc sứ cho răng sâu gồm:
- Tình trạng sâu răng nặng khiến răng bị mẻ và vỡ lớn. Trường hợp này không thể phục hồi bằng trám răng.
- Đối tượng bị sâu răng cửa hay răng cửa bị vỡ nhiều ảnh hưởng đến tủy.
- Sâu răng nghiêm trọng gây viêm tủy. Mặc dù phải điều trị tủy nhưng vẫn giữ được chân răng.

Bọc sứ răng sâu có gây ảnh hưởng gì đến chất lượng răng không?
Bọc sứ răng sâu được xem là kỹ thuật an toàn, hiệu quả cao. Tuy nhiên, nếu thực hiện tại các cơ sở nha khoa không uy tín, bác sĩ tay nghề kém… Người bệnh có thể đối diện với những biến chứng sau:
- Nếu bọc răng sứ không đúng kỹ thuật sẽ để lại kẽ hở giữa răng thật và răng sứ. Từ đó, sẽ khiến người bệnh có nguy cơ viêm chân răng, viêm nha chu. Nếu tình trạng này kéo dài có thể gây mất răng vĩnh viễn.
- Nhiều cơ sở nha khoa giá rẻ tận dụng việc mài răng nhiều sẽ khiến chân răng bị yếu. Điều này sẽ ảnh hưởng đến sức khỏe của răng, gây viêm nướu, viêm tủy răng.
- Có thể gây dị ứng với vật liệu nha khoa nếu có nguồn gốc không rõ ràng.
Để tránh những biến chứng nguy hiểm trên, các bạn cần lưu ý:
- Tìm hiểu kỹ càng và lựa chọn địa chỉ nha khoa uy tín, chất lượng.
- Lựa chọn bác sĩ có tay nghề cao, nhiều kinh nghiệm để thực hiện.
- Tìm hiểu về chất lượng của vật liệu sử dụng trong quá trình phục hình.
- Tuân thủ những hướng dẫn của nha sĩ để đạt hiệu quả tốt nhất.
Quy trình bọc sứ răng sâu tại nha khoa
Thông thường, quy trình bọc sứ răng sâu thường diễn ra theo các bước sau.
- Bước 1: Khám tổng quát và kiểm tra tình trạng sức khỏe
Bác sĩ sẽ tiến hành kiểm tra sức khỏe, tình trạng răng miệng. Đặc biệt, xem xét răng sâu có bọc sứ được hay không. Nếu có thể thực hiện, bác sĩ sẽ tư vấn dòng răng sứ phù hợp.
- Bước 2: Tiến hành gây tê vùng điều trị, mài cùi răng, kiểm tra khớp cắn
Bạn sẽ vệ sinh răng miệng và gây tê vùng điều trị. Sau đó, bác sĩ sẽ tiến hành mài răng theo tỉ lệ nhất định để tránh ảnh hưởng đến răng thật.
- Bước 3: Lấy dấu răng và gửi về phòng Labo
Khi đã mài răng, bác sĩ sẽ lấy dấu răng và gửi về Labo để chế tác mão sứ. Quá trình chế tác được thực hiện trên phần mềm CAD/CAM hiện đại nên độ chính xác cao.
- Bước 4: Bác sĩ kiểm tra, so sánh và tiến hành gắn răng sứ cố định
Bác sĩ tiến hành gắn mão sứ lên răng và kiểm tra khớp cắn, thẩm mỹ. Nếu đã phù hợp, bác sĩ sẽ gắn răng sứ cố định.
Chắc hẳn qua những thông tin trên đã giúp bạn đọc nắm rõ về bọc sứ răng sâu. Nếu bạn đang muốn hiểu phương pháp phục hình cho răng sâu trước khi quyết định . Bạn hãy liên hệ với chúng tôi qua để được các bác sĩ chuyên khoa tư vấn phương pháp phù hợp nhé.




