Viêm nha chu là một trong những bệnh lý về răng miệng tương đối phổ biến hiện nay. Vậy đâu là nguyên nhân dẫn đến bệnh viêm nha chu? Cách nhận biết và điều trị ra sao? Nội dung bài viết dưới đây sẽ lý giải về vấn đề này.
Nội dung chính
Bệnh viêm nha chu là gì?
Viêm nha chu là tình trạng các mô nha chu bị viêm nhiễm. Cụ thể gồm viêm lợi và viêm nha chu phá hủy. Sau một thời gian, nướu sẽ không bám vào chân răng.
Và nếu không được điều trị, nó sẽ tạo điều kiện cho vi khuẩn xâm nhập và gây viêm nhiễm. Từ đó, phá hủy ổ răng và hình thành các túi nha chu, gây nên không ít ảnh hưởng xấu.

Diễn biến quá trình viêm nha chu như thế nào?
Diễn biến của bệnh viêm nha chu diễn ra thầm lặng. Do đó, rất nhiều người bỏ qua các triệu chứng ban đầu của bệnh. Chỉ đến khi bệnh nặng, triệu chứng rõ rệt mới đi thăm khám và điều trị.
Theo các bác sĩ, viêm nha chu thường trải qua 4 giai đoạn sau:
Giai đoạn 1: Hình thành các mảng bám
Với giai đoạn này, vi khuẩn bắt đầu tích tụ ở chân răng. Viền lợi, kẽ răng sẽ bắt đầu xuất hiện mảng bám gọi là vôi răng.
Ở giai đoạn này, các bạn vẫn chưa thấy những bất thường trong khoang miệng.
Giai đoạn 2: Bắt đầu viêm nhiễm
Sau một thời gian, vôi răng sẽ gây kích ứng nướu. Từ đó, khiến cho nướu bị sưng phồng và dễ chảy máu khi có tác động. Điển hình như khi đánh răng, xỉa răng hay khi ăn uống.
Giai đoạn 3: Hình thành túi nha chu
Lúc này, giữa răng và nướu sẽ xuất hiện túi nha chu chứa vi khuẩn và mủ.
Giai đoạn 4: Răng và ổ xương răng bị phá hủy
Vi khuẩn sẽ tiếp tục phát triển trong môi trường viêm nhiễm. Khiến cho khung xương ổ răng bị phá hủy, răng lung lay, lợi tụt…

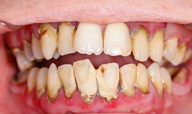
Các triệu chứng thường gặp khi viêm nha chu
Như đã chia sẻ, ở giai đoạn đầu bệnh tiến triển âm thầm nên khó nhận biết. Ở các giai đoạn sau bệnh sẽ biểu hiện rõ rệt hơn. Cụ thể :
- Răng bị đau nhức và ê buốt.
- Lợi chuyển từ màu hồng sang đỏ thẫm. Lợi bị sưng, căng phồng và dễ chảy máu.
- Hơi thở có mùi hôi khó chịu.
- Nướu răng mềm, không bám chắc vào răng. Cũng có những trường hợp còn bị tụt nướu.
- Kẽ răng và chân răng xuất hiện mảng bám.
Nguyên nhân gây ra viêm nha chu
Vậy đâu là nguyên nhân gây bệnh viêm nha chu. Viêm nha chu sẽ xuất hiện khi:
- Vệ sinh răng miệng kém, các mảng bám ở kẽ răng không được làm sạch. Từ đó, tạo điều kiện cho vi khuẩn tích tụ và gây viêm nướu. Ngoài ra, mảng bám tồn tại trong thời gian dài sẽ tạo ra vôi răng. Lúc này, vôi răng sẽ gây kích ứng nướu, nướu bị viêm đỏ. Thậm chí, có thể gây chảy máu chân răng khi vệ sinh răng miệng hay xỉa răng.
- Không lấy cao răng thường xuyên khiến nướu bị viêm. Lâu dần sẽ chuyển sang viêm nha chu.
- Thói quen hút thuốc lá.
- Rối loạn nội tiết tố.
- Hệ miễn dịch trong cơ thể kém.
- Hở kẽ răng do thói quen xỉa răng.
- Mắc một số bệnh lý như tiểu đường, viêm nhiễm khuẩn hay bạch cầu…

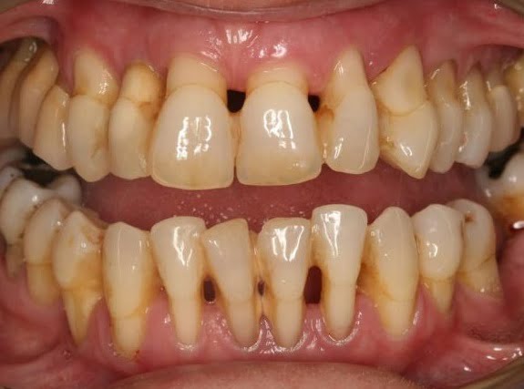
Viêm nha chu có nguy hiểm không?
Viêm nha chu có nguy hiểm không? Bệnh nếu không phát hiện và điều trị sớm sẽ gây ra những biến chứng sau:
- Răng miệng có mùi hôi khó chịu, chảy máu chân răng. Tình trạng này khiến người bệnh tự ti trong giao tiếp.
- Ảnh hưởng đến khớp cắn, lực nhai bị yếu hay đau khi nhai.
- Răng bị lệch ảnh hưởng đến thẩm mỹ.
- Phá hủy mô nâng đỡ răng khiến răng bị lung lay.
- Hình thành ổ xương răng và gây mất răng.
- Tăng nguy cơ áp xe chân răng, khiến tủy chết ngược dòng.
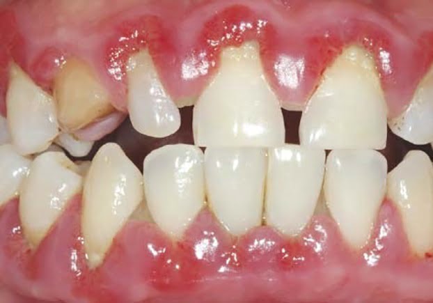
Phương pháp điều trị bệnh nha chu
Theo khuyến cáo, nếu có dấu hiệu của viêm nha chu, người bệnh cần đi khám sớm. Bác sĩ sẽ tiến hành thăm khám và chẩn đoán tình trạng bệnh. Tùy vào từng mức độ bệnh mà sẽ có phác đồ điều trị phù hợp.
- Viêm nha chu ở giai đoạn viêm nướu nhẹ:
Ở mức độ nhẹ, bác sĩ sẽ tiến hành cạo vôi răng, vệ sinh răng miệng để loại bỏ vi khuẩn. Ngoài ra, người bệnh cần tuân thủ vệ sinh răng miệng sạch sẽ. Đồng thời, khám nha khoa định kỳ để kiểm tra tình trạng bệnh.
- Viêm nha chu gây đau nhức, chức năng nhai yếu đi, hình thành các túi mủ:
Phác đồ điều trị là cạo vôi răng, nạo túi mủ. Sau đó, thực hiện điều trị như bít, trám tủy. Mục đích để hạn chế vi khuẩn xâm nhập vào chân răng và tủy răng.
- Viêm nha chu nặng khiến răng lung lay, không thể bảo tồn:
Ở trường hợp này, bác sĩ sẽ chỉ định nhổ răng. Sau đó, tư vấn các phương pháp phục hình răng. Điển hình như trồng răng giả tháo lắp; cầu răng sứ hoặc cấy ghép implant… Tùy vào tình trạng bệnh, sức khỏe bệnh nhân mà bác sĩ sẽ có tư vấn phù hợp.
Cách phòng ngừa viêm nha chu hiệu quả
Làm thế nào để phòng ngừa bệnh viêm nha chu? Dưới đây là một vài lời khuyên dành cho các bạn.
- Vệ sinh răng miệng đúng cách, chải theo chiều dọc và xoay tròn. Không nên chải theo chiều ngang vì có thể gây mòn men răng và chảy máu chân răng.
- Đánh răng sau mỗi bữa ăn để làm sạch thức ăn.
- Sử dụng bàn chải lông mềm, thay bàn chải 3 tháng/lần.
- Nên sử dụng chỉ nha khoa để xỉa răng thay vì dùng tăm.
- Sử dụng dung dịch súc miệng hoặc nước muối pha loãng để loại bỏ mảng bám.
- Không hút thuốc lá, cà phê, nước ngọt có ga, rượu bia.
- Khám răng định kỳ 6 tháng/lần.
Trên đây là tổng hợp những thông tin về bệnh viêm nha chu mà các bạn có thể tham khảo. Như vậy, bệnh lý này có thể gây hỏng răng, phá hủy ổ xương răng nếu không điều trị kịp thời. Do đó, nếu có dấu hiệu của bệnh, các bạn hãy đến các cơ sở nha khoa uy tín để được điều trị kịp thời.




