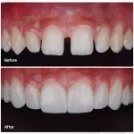
Bọc răng sứ là giải pháp hiệu quả giúp khắc phục tình trạng răng bị vỡ, mẻ hay xỉn màu. Nguyên nhân do răng sứ có độ bền cao, màu sắc tự nhiên và chắc chắn. Trong đó, bọc răng sứ DDBio có tính thẩm mỹ cao, độ bền chắc chắn nên được nhiều người lựa chọn.
Nội dung bài viết dưới đây sẽ giới thiệu cụ thể hơn về răng sứ DDBio. Hy vọng sẽ giúp bạn đọc có thêm sự lựa chọn giúp sở hữu nụ cười xinh.
Nội dung chính
Răng sứ DDbio là gì?
Răng sứ DDBio có xuất xứ từ Đức, loại răng này được sản xuất từ sứ Zirconia không kim loại. Đặc điểm của răng sứ DDBio là có khả năng tương hợp sinh học cao. Do đó, đảm bảo tính thẩm mỹ cho người sử dụng.
Ngoài ra, răng sứ DDBio có độ bền cao, chịu lực tốt. Sau khi bọc răng sứ, bạn có thể yên tâm ăn uống mà không bị kích ứng.

Trường hợp nào nên bọc răng sứ DDBio?
Theo các chuyên gia, bọc răng sứ DDBio là phương pháp phục hình răng thẩm mỹ hiệu quả. Giải pháp này phù hợp cho những đối tượng có khuyết điểm trên cung hàm như:
- Đối tượng có răng bị sứt mẻ hay bể vỡ.
- Răng thưa kẽ hoặc răng khấp khểnh không đều.
- Răng bị xỉn màu không thể cải thiện bằng cách tẩy trắng.
- Những người có răng cửa thưa, hô nhẹ.
- Răng bị sâu nhưng hàn trám không hiệu quả.
- Răng mòn men quá nhiều.
- Những người muốn cải thiện hàm răng không có tính thẩm mỹ cao.
Tại sao lại chọn răng sứ DDBio?
Tại sao nên chọn răng sứ DDBio? Thực tế, hiện nay có rất nhiều dòng răng sứ ra đời. Nhằm đáp ứng nhu cầu sử dụng của con người. Tuy nhiên, răng sứ DDBio luôn nhận được sự lựa chọn của rất nhiều người.
Được biết, răng sứ DDBio được thiết kế và sản xuất tự động trên hệ thống CAD/CAM hiện đại nhất. Do đó, răng sứ luôn đảm bảo đạt độ chính xác cao.
Răng sứ DDBio không lẫn tạp chất hay kim loại. Nên không xảy ra tình trạng kích ứng mô, nướu trong quá trình sử dụng. Không làm đen viền nướu, không đổi màu hay bị tác động bởi ánh sáng…

Ngoài ra, còn phải kể đến một số đặc điểm như:
- Răng sứ DDBio có chất liệu toàn sứ nên rất giống răng tự nhiên, thẩm mỹ cao.
- Không bị ê buốt khi sử dụng các thực phẩm nóng hay lạnh.
- Khi chiếu quang hay ánh đèn răng sứ không bị đổ bóng kém tự nhiên.
- Trong quá trình sử dụng không bị nứt mẻ ở cạnh cắn và mặt nhai.
- Không dị ứng hay đào thải với phục hình.
- Răng sứ có độ bền cao.
Không những thế, răng sứ DDBio còn đáp ứng mọi yêu cầu phục hình và thẩm mỹ răng sứ. Điển hình như phục hình mão răng đơn lẻ, mão răng Implant, phục hình cầu răng. Đặc biệt, loại răng sứ này phù hợp phục hình vùng răng trước yêu cầu tính thẩm mỹ cao.
Ưu điểm của răng sứ DDBio
Răng sứ DDBio sở hữu nhiều ưu điểm nổi bật mà các dòng răng sứ khác không có. Trong đó, phải kể đến:
Có độ trong mờ và thẩm mỹ như răng thật
Phôi sứ DDBio đạt độ trong cho phục hình răng nên mang hiệu ứng khác biệt. Răng sứ vừa đảm bảo không đục, không đen vừa mang màu sắc tự nhiên. Nên khi sử dụng rất khó phân biệt răng thật hay răng sứ.
DDBio còn sở hữu vẻ đẹp tinh tế nhờ sự chuyển đổi màu sắc từ cổ răng đến cạnh cắn. Vùng cổ răng sẽ hơi đậm màu, sau đó trong dần xuống phía cạnh cắn.
Như vậy, răng sứ DDBio chính là giải pháp hiệu quả giúp che khuyết điểm trên răng hiệu quả. Nhờ đó, bạn sẽ dễ dàng sở hữu hàm răng trắng đẹp và tự nhiên.
Tương hợp sinh học trong môi trường răng – miệng
Răng sứ DDBio được chế tác và sản xuất bằng công nghệ CAD/CAM hiện đại. Nên sản phẩm này đạt tính tương hợp trong khoang miệng mà không gây kích ứng.
Ngoài ra, răng sứ DDBio có đề kháng cao với sự tạo mảng bám trên bề mặt răng. Từ đó, hạn chế tình trạng đọng thức ăn, giúp răng sạch bóng, tránh tụt nướu mất thẩm mỹ.
Có độ bền cơ học và kháng mòn cao
Ưu điểm cuối của cùng răng sứ DDBio chúng tôi muốn nói đến đó là độ bền và kháng mòn cao.
Khả năng chống bám dính của răng sứ DDBio cao hơn cả răng thật. Nên răng sứ sẽ không bị xỉn màu dưới tác động của cafe, thuốc lá hay thực phẩm chứa phẩm màu.
Ngoài ra, răng bọc sứ DDBio còn có khả năng chịu lực lớn. Nên sẽ tránh được tình trạng sứt mẻ trong quá trình sử dụng.
Trên đây là tổng hợp những thông tin về răng sứ DDBio mà các bạn có thể tham khảo. Nếu bạn đang tìm kiếm dòng răng sứ thẩm mỹ, an toàn thì đây là gợi ý tốt nhất. Nếu còn thắc mắc cần được tư vấn hay báo giá cụ thể về bọc răng sứ DDBio. Hạn hãy liên hệ với chúng tôi theo số hotline để được giải đáp chi tiết và cụ thể nhất.




