Phẫu thuật cười hở lợi và 5 điều bạn cần biết
Cười hở lợi không phải là bệnh lý nguy hiểm nhưng ảnh hưởng nặng nề đến thẩm mỹ, tâm lý. Chính vì thế, rất nhiều người tìm đến giải pháp phẫu thuật cười hở lợi để khắc phục. Với mong muốn lấy lại sự tự tin cho bản thân, sở hữu nụ cười xinh.
Nội dung bài viết đây sẽ chia sẻ sẽ rõ hơn về phẫu thuật cười hở lợi. Bao gồm quy trình thực hiện, chi phí thực hiện. Cũng như giải đáp phẫu thuật cười hở lợi có đau không, có nguy hiểm không? Mời bạn đọc cùng theo dõi.
Nội dung chính
Cười hở lợi là gì?
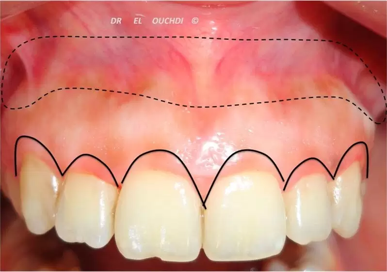
Cười hở lợi là tình trạng phần lợi lộ ra nhiều hơn hoặc bằng răng khi cười. Cũng có trường hợp vùng lợi tương đương với chóp của răng cửa. Tình trạng cười hở lợi có nhiều mức độ khác nhau, cụ thể như sau:
Cười hở lợi nhẹ: Khi cười phần nước nhiều hơn 3mm nhưng ít hơn khoảng 25% chiều dài của răng.
Cười hở lợi trung bình: Khi cười phần nướu lộ nhiều hơn 25% nhưng ít hơn 50% chiều dài của răng.
Cười hở lợi nặng: Khi cười, phần nưới lộ nhiều hơn 50% nhưng ít hơn 100 chiều dài của răng.
Cười hở lợi nghiêm trọng: Khi cười phần nướu lộ hơn 100% chiều dài của răng. Hoặc cũng có trường hợp không nhìn thấy răng do nướu che hết.

Phẫu thuật cười hở lợi chỉ định trong trường hợp nào?
Phẫu thuật là một trong những phương pháp khắc phục tình trạng cười hở lợi hiện nay. Theo đó, phương pháp này được chỉ định cho những đối tượng gặp các khuyết điểm sau:
– Lợi phát triển quá mức, phì đại do sai khớp cắn.
– Thân răng ngắn, không cân đối với môi trên.
– Răng hô, khấp khểnh ở hàm trên.
Ngoài ra, để tiến hành phẫu thuật cười hở lợi cần phải có sức khỏe đảm bảo. Đồng thời, không mắc các bệnh máu khó đông, huyết áp, tinh mạch…

Quy trình phẫu thuật cười hở lợi tại Bọc răng sứ thẩm mỹ
Mỗi cơ sở thực hiện sẽ có quy trình phẫu thuật cười hở lợi khác nhau. Tuy nhiên, chung quy lại đều thì quy trình này đều trải qua các bước sau:
Bước 1: Thăm khám và tư vấn
Trước khi tiến hành làm phẫu thuật, khách hàng sẽ được thăm khám và tư vấn. Mục đích để kiểm tra nguyên nhân và mức độ hở lợi.
Bác sĩ sẽ sử dụng máy CT Scanner chuyên để kiểm tra. Thông qua kết quả, bác sĩ sẽ tư vấn phương pháp điều trị phù hợp.
Bước 2: Kiểm tra sức khỏe tổng quát trước phẫu thuật
Tiếp theo, khách hàng sẽ được làm một số xét nghiệm cần thiết. Nhằm đảm bảo không mắc các bệnh tim mạch, huyết áp, máu khó đông…
Trong quá trình thăm khám, khách hàng nên chia sẻ với bác sĩ về bệnh lý của mình. Để bác sĩ nắm rõ và có hướng điều trị phù hợp.
Bước 3: Vệ sinh vô khuẩn và gây mê
Nếu khách hàng có sức khỏe tốt, sẽ được tiến hành vệ sinh và gây mê. Việc gây mê sẽ giúp loại bỏ đau đớn trong quá trình làm phẫu thuật.
Bước 4: Tiến hành phẫu thuật chữa cười hở lợi
Tùy vào mức độ hở lợi của khách hàng mà bác sĩ sẽ có phác đồ phù hợp. Cụ thể :
+ Đối với trường hợp cười hở lợi mức độ nhẹ:
Với trường hợp này, bác sĩ sẽ tiêm hoạt chất để co kéo lợi. Nhờ đó, cơ nâng môi trên sẽ được kéo sang 2 bên thay vì kéo lên cao như trước.
+ Đối với trường hợp cười hở lợi nặng:
Bác sĩ sẽ tiến hành phẫu thuật để cắt và bỏ 1 phần cơ nâng môi trên. Phẫu thuật này sẽ giúp khắc phục triệt để tình trạng cười hở lợi.
+ Đối với trường hợp cười hở lợi do hô:
Bác sĩ sẽ chỉ định cho khách hàng niềng răng để hàm đều nhau và khắc phục cười hở lợi.
Bước 5: Đưa khách hàng về phòng hậu phẫu
Sau khi xong thủ thuật, khách hàng sẽ được đưa về phòng hậu phẫu để theo dõi. Nếu các chỉ số đều ổn định, khách hàng có thể ra về.

Phẫu thuật cười hở lợi có đau không?
Phẫu thuật cười hở lợi có đau không ? Đây là mối quan tâm của rất nhiều người khi có ý định làm phẫu thuật.
Theo các bác sĩ, phẫu thuật cười hở lợi có tác động của dao kéo. Do đó, để khẳng định phẫu thuật không đau thì không hoàn toàn đúng.
Tuy nhiên, hiện nay phương pháp phẫu thuật cười hở lợi đã ngày càng hiện đại. Nên tình trạng đau đớn đã được hạn chế nhiều so với trước đây.
Trong quá trình làm phẫu thuật, khách hàng sẽ được gây mê. Do đó, trong quá trình thực hiện sẽ không thấy đau đớn. Còn sau phẫu thuật, bạn sẽ có cảm giác đau nhẹ ở hàm, môi trên. Nhưng tình trạng đau sẽ giảm dần, chỉ sau 3 – 5 ngày tình trạng đau nhức sẽ biến mất.
Phẫu thuật cười hở lợi giá bao nhiêu?
Để biết chính xác phẫu thuật cười lợi giá bao nhiêu cần đến các cơ sở nha khoa. Sau khi thăm khám và kiểm tra, các bác sĩ sẽ tư vấn phương pháp điều trị và chi phí.
Thông thường, giá phẫu thuật cười hở lợi sẽ phụ thuộc vào những yếu tố sau :
Cơ sở thực hiện;
Tay nghề bác sĩ;
Trình trạng hở lợi;
Phương pháp phẫu thuật.
Hy vọng qua những thông tin trên đã giúp bạn đọc nắm rõ những thông tin về phẫu thuật cười hở lợi. Để biết chính xác nguyên nhân và cách điều trị, bạn hãy liên hệ với chúng tôi để tư vấn chi tiết.




