Sức khỏe và thẩm mỹ nha khoa đang là vấn được rất nhiều người quan tâm tìm hiểu. Trong đó, mặt dán sứ Veneer chính là giải pháp nha khoa thẩm mỹ được nhiều người đánh giá cao khi có nhu cầu làm đẹp răng nhưng vẫn muốn giữ lại răng thật. Để hiểu rõ hơn về dán sứ Veneer, mời các bạn hãy cùng chúng tôi theo dõi bài viết dưới đây nhé!
Nội dung chính
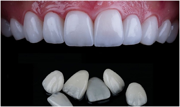
Bạn biết gì về về mặt dán sứ Veneer

Bạn biết gì về về mặt dán sứ Veneer
Mặt dán sứ Veneer hay còn được gọi là Laminate sứ. Đây được xem là kỹ thuật phục hình răng thẩm mỹ vô cùng hiện đại được rất nhiều người ưa chuộng. Theo đó, dán sứ Veneer là giải pháp nha khoa giúp phục hình răng thẩm mỹ. Đồng thời, khắc phục mọi khuyết điểm như: răng ố vàng, răng bị nhiễm màu, răng thưa, răng gãy mẽ,…Hơn bao giờ hết, dán sứ Veneer còn giúp bảo tồn răng thật bằng cách thay thế men răng ở ngoài một cách hiệu quả nhất.
Cụ thể hơn, với phương pháp dán sứ Veneer thì sẽ sử dụng các mặt sứ mỏng cố định lên bề mặt ngoài của răng thật với bài dày từ 0.3 đến 0.6mm. Từ đó, đảm bảo đem lại về đẹp hoàn hảo cho hàm răng của người thực hiện.
Ngày nay, mặt dán sứ Veneer được sử dụng khá phổ biến tại các nước Châu Âu, Mỹ. Để thực hiện được phương pháp này, đòi hỏi yêu cầu trình độ rất cao đối với cả bác sĩ, kỹ thuật viên cũng như sự phức tạp về mặt kỹ thuật, công nghệ. Trong đó, Việt Nam đã và đang là một nước ứng dụng rất thành công phương pháp nha khoa thẩm mỹ mặt dán sứ Veneer. Nếu các bạn tìm kiếm được cho mình địa chỉ uy tín, chất lượng thì tỉ lệ thành công lên đến 100%.
Ưu điểm của phương pháp nha khoa thẩm mỹ về mặt dán sứ Veneer là gì?

Ưu điểm của phương pháp nha khoa thẩm mỹ về mặt dán sứ Veneer là gì?
Không thể phủ nhận được sức hút và mức độ hiệu quả của phương pháp nha khoa thẩm mỹ về mặt dán sứ Veneer mang lại. Cụ thể, dán sứ Veneer có những ưu điểm nổi bật như sau:
- Dán sứ Veneer giúp tạo lớp bảo vệ cho bề mặt răng. Từ đó, hạn chế các mảng bám cũng như cao răng và mang lại độ hoàn hảo về mặt thẩm mỹ
- Dán sứ Veneer được thực hiện với phương pháp mài răng chưa tới 0.3 mm. Vì thế, dán sứ Veneer được đánh giá cao với sự hạn chế tối đa mài răng, giảm tình trạng đau nhức, ê buốt răng
- Dán sứ Veneer có độ bền và mức độ chịu lực rất tốt. Bởi phương pháp có tuổi thọ hơn 10 năm hoặc trọn đời nếu biết cách chăm sóc tốt
Quy trình thực hiện về mặt dán sứ Veneer chuẩn nha khoa

Quy trình thực hiện về mặt dán sứ Veneer chuẩn nha khoa
Với sự phát triển vượt bậc của công nghệ nha khoa tại Việt Nam nói riêng và thế giới nói chung thì dán sứ Veneer ngày càng được thực hiện một cách rất tỉ mỉ và hiện đại cũng như đảm bảo đầy đủ tiêu chuẩn của bộ Y tế. Theo đó, để thực hiện được mặt dán sứ Veneer thì cần phải tuân thủ những bước sau:
- Bước 1 – Thăm khám tổng quát: Đây là bước đầu tiên và cũng rất quan trọng. Vì ở bước này, các bác sĩ sẽ tiến hành khám tổng quát về tình trạng răng miệng để có căn cứ suy luận ra các phương pháp phù hợp với bạn. Nếu bạn mắc phải các bệnh lý về nha chu, sâu răng,…thì các bác sĩ sẽ tư vấn để điều trị trước. Sau đó mới lựa chọn dán sứ Veneer.
- Bước 2 – Tiến hành vệ sinh răng miệng: Tiếp theo, các bác sĩ sẽ thực hiện vệ sinh răng miệng thật sạch sẽ nhằm tránh để răng bị nhiễm khuẩn và giúp cho việc dán sứ Veneer được hiệu quả hơn. Đặc biệt, đối với những trường hợp răng bị nhiễm màu nặng thì phải tiến hành tẩy trắng răng.
- Bước 3 – Thực hiện mài răng và lấy dấu răng: Để giảm thiểu tối đa cảm giác đau hay ê buốt răng thì ở bước này các bác sĩ sẽ tiến hành gây tê trước khi mài răng. Lúc này, bác sĩ sẽ mài mỏng bớt với độ khoảng 0.3 mm để sau này có thể gắn mặt dán sứ Veneer lên trên mặt ngoài của răng. Sau đó, bác sĩ sẽ lấy dấu răng và làm dấu hàm để thiết kế ra mặt dán sứ Veneer chính xác và phù hợp nhất.
- Bước 4 – Gắn răng tạm: Trong thời gian chờ đợi mặt dán sứ Veneer được hoàn thành, bạn sẽ được gắn răng nhựa tạm thời nhằm bảo vệ răng thật trong quá trình ăn uống và sinh hoạt.
- Bước 5 – Gắn mặt dán sứ Veneer: Sau khi mặt dán sứ Veneer được thiết kế xong thì các bác sĩ sẽ kiểm tra lại một lần nữa rồi gắn mặt dán sứ Veneer cố định lê bề mặt trước của răng bằng nhựa dán cũng như sử dụng hiệu ứng ánh sáng Laser
- Bước 6 – Tư vấn chăm sóc: Đây là bước cuối cùng của quy trình thực hiện dán sứ Veneer. Lúc này, các bạn sẽ được kiểm tra lại một lần nữa xem có ưng ý hay không. Đồng thời, các bác sĩ sẽ hướng dẫn cụ thể, cẩn thận cách chăm sóc răng miệng hiệu quả sau khi thực hiện dán sứ Veneer.
Cách chăm sóc sau khi thực hiện mặt dán sứ Veneer

Cách chăm sóc sau khi thực hiện mặt dán sứ Veneer
Sau khi thực hiện mặt dán sứ Veneer, các bạn cần có cho mình một cách chăm sóc răng miệng hợp lý như sau:
- Nên thường xuyên súc miệng trước khi ngủ và sau khi ăn
- Nên sử dụng bàn chải lông mềm
- Nên dùng chỉ tơ nha khoa để loại bỏ mọi mảng bám trên kẽ răng khi thực hiện chức năng ăn uống
- Nên thường xuyên kiểm tra răng định kỳ 6 tháng một lần tại các nha khoa uy tín
- Tuyệt đối không được ăn quá nhiều đồ cứng, đồ quá nóng hoặc quá lạnh cũng như các thực phẩm có màu đen
Nha Khoa Thẩm Mỹ – Địa chỉ thực hiện mặt dán sứ Veneer tốt nhất hiện nay
Nha Khoa Thẩm Mỹ – Địa chỉ thực hiện mặt dán sứ Veneer tốt nhất hiện nay
Giữa thị trường đầy cạnh tranh như hiện nay thì Nha Khoa thẩm Mỹ vẫn là một trong những địa chỉ thực hiện mặt dán sứ Veneer chất lượng cao được rất nhiều khách hàng ưa chuộng. Theo đó, Nha Khoa thẩm Mỹ được xây dựng và phát triển với mô hình trung tâm nha khoa kỹ thuật cao. Nơi đây chuyên sâu với rất nhiều dịch vụ mũi nhọn như: điều trị tủy, niềng răng, trám răng, bọc sứ, điều trị viêm nha chu, dán sứ Veneer,…
Đến với Nha Khoa thẩm Mỹ, chắc chắn các bạn sẽ vô cùng hài lòng vì:
- Nha Khoa thẩm Mỹ là nơi có mức giá dịch vụ tốt nhất thị trường hiện nay, công khai, minh bạch, không phát sinh chi phí
- Nha Khoa thẩm Mỹ sở hữu đội ngũ y bác sĩ được chọn lọc kỹ càng, thuộc top đầu ngành
- Nha Khoa thẩm Mỹ áp dụng hệ thống công nghệ kỹ thuật hiện đại, tân tiến nhất hiện nay
- Nha Khoa thẩm Mỹ đảm bảo 100% thuốc và nguyên liệu thực hiện đều có nguồn gốc rõ ràng và đến từ các hãng nổi tiếng tại nước ngoài
- Nha Khoa thẩm Mỹ hỗ trợ tư vấn miễn phí sau quy trình khám tổng quát để đưa ra giải pháp nha khoa tốt nhất đến với bạn
- Nha Khoa thẩm Mỹ có rất nhiều chương trình khuyến mãi, giảm giá hấp dẫn cùng chính sách thực hiện dịch vụ với hình thức trả góp có lãi suất cực thấp
- Nha Khoa thẩm Mỹ cam kết bảo mật mọi thông tin khách hàng khi sử dụng dịch vụ
- Nha Khoa thẩm Mỹ luôn đồng hành cùng bạn trước và sau khi thực hiện các dịch vụ tại đây
Bài viết trên là những thông tin bổ ích về phương pháp thẩm mỹ nha khoa mặt dán sứ Veneer mà chúng tôi đã chia sẻ đến các bạn. Hy vọng qua đây các bạn sẽ hiểu rõ hơn về dán sứ Veneer cũng như có cho mình địa chỉ thực hiện uy tín, an toàn tại https://bocrangsudep.com/. Cảm ơn các bạn đã quan tâm theo dõi bài viết của chúng tôi nhé!




