Hàn răng sâu sẽ giúp cho bạn khắc phục những cơn đau nhức và khó
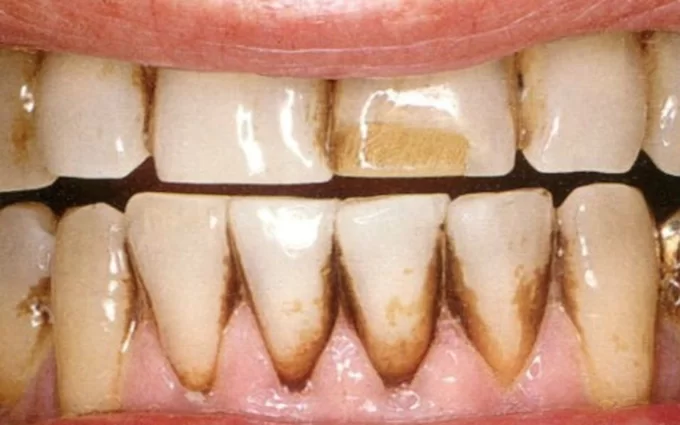
Răng bị đen bề mặt phải làm sao? Răng bị đen ở bề mặt nguyên
Hàn răng sâu giá bao nhiêu? Bảng giá hàn (trám) răng sâu mới nhất bao
1. Nguyên nhân khiến răng sứ bị phá vỡ sau khi bọc đúng kỹ thuật
Những lợi ích của việc niềng răng ở tuổi 20 niềng răng là quá trình
Những yếu tố ảnh hưởng đến thời gian sử dụng của răng sứ bọc Răng
Tại sao bọc chỉ một chiếc răng sứ thường là điều cần thiết? Đôi khi
Baking soda giúp loại bỏ các vết ố trên răng Baking soda, còn được gọi
Tại sao nên niềng răng ở độ tuổi 24? niềng răng đã không còn chỉ
Những loại biến chứng thường gặp sau khi bọc răng sứ Mẫn ngứa Nuốt nhầm