Bọc sứ răng cửa và những điều cần biết
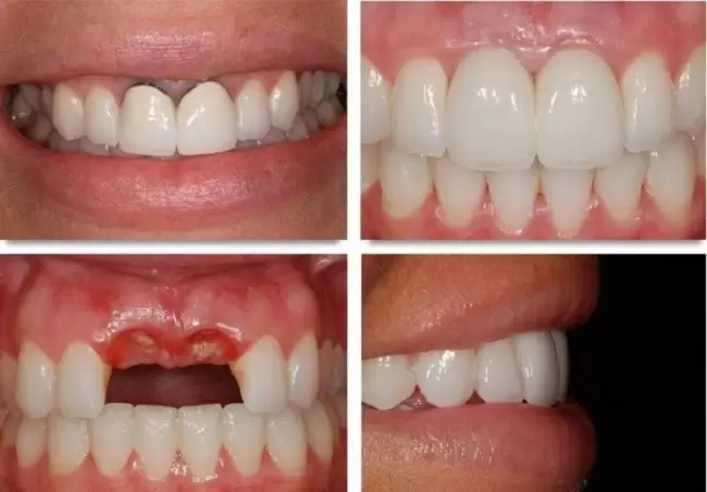
Răng cửa nằm ở vị trí trung tâm nên rất dễ nhìn thấy các khuyết điểm. Lúc này, bọc sứ răng cửa là giải pháp hiệu quả, thẩm mỹ cao nên được nhiều người lựa chọn. Vậy khi nào nên bọc sứ răng cửa? Bọc sứ răng cửa nên chọn loại nào? Sau khi bọc sứ cho răng cửa cần lưu ý điều gì? Tất cả sẽ được giải đáp ngay sau đây.
Nội dung chính
Khi nào nên bọc sứ răng cửa?
Khi nào nên bọc sứ răng cửa? Đây là mối quan tâm của rất nhiều người. Thực tế, răng cửa nằm ở vị trí trung tâm, ngoài mặt hàm răng. Do đó, bất kể các khuyết điểm ở răng cửa đều rất dễ nhìn thấy.

Điều đó khiến cho nhiều người có thể cảm thấy tự ti trong giao tiếp, ảnh hưởng đến công việc. Lúc này, bọc sứ răng cửa là giải pháp hiệu quả nhất giúp khắc phục các nhược điểm này. Theo các bác sĩ, những trường hợp dưới đây nên bọc sứ răng cửa:
Răng cửa bị vỡ, mẻ
Khi bị vỡ hay mẻ răng nhiều người sẽ nghĩ ngay đến giải pháp trám răng. Tuy nhiên, giải pháp này chỉ hiệu quả với những trường hợp mẻ không quá 1/3 răng thật. Nên với những trường hợp vỡ, mẻ răng lớn hơn 1/3 răng thật. Lúc này, bọc sứ răng cửa là giải pháp phù hợp và hiệu quả nhất.
Răng cửa bị ố màu, thưa và nhỏ
Răng thưa và nhỏ thường bọc sứ sẽ hiệu quả hơn. Ngoài ra, trường hợp răng nhiễm màu không thể tẩy trắng cũng phù hợp để bọc răng sứ. Nhờ đó, giúp bạn sở hữu hàm răng trắng sáng, tự tin hơn trong giao tiếp.
Răng cửa bị hô
Răng cửa bị hô không chỉ gây mất thẩm mỹ mà còn khiến việc ăn uống gặp khó khăn. Ngoài ra, nếu không khắc phục sớm sẽ tăng nguy cơ mắc các bệnh về răng miệng. Do đó, bọc sứ răng cửa sẽ giúp khắc phục hiệu quả tình trạng này.
Bọc sứ răng cửa nên chọn loại sứ nào?
Hiện nay, trên thị trường có rất nhiều loại răng sứ để sử dụng để phục hình thẩm mỹ cho răng cửa. Trong đó, phổ biến là 2 loại răng sứ kim loại và răng toàn sứ. Mỗi loại răng sứ sẽ có những ưu, nhược điểm khác nhau:
Răng sứ kim loại là loại răng sứ có sườn được làm từ kim loại và bên ngoài bọc bằng sứ. Với đặc điểm cấu tạo này nên răng sứ kim loại khá giống với răng thật.
Ưu điểm của răng sứ kim loại là giá thành rẻ nên phù hợp với nhiều đối tượng. Tuy nhiên, dòng răng sứ này sẽ bị đen viền sau một thời gian sử dụng. Từ đó, gây mất thẩm mỹ và buộc phải phục hình lại. Ngoài ra, tuổi thọ của răng sứ kim loại khá thấp, khoảng 5 – 7 năm.
Răng toàn sứ là dòng răng sứ được làm hoàn toàn từ sứ. Chi phí của dòng răng sứ này cao nhưng có nhiều ưu điểm nổi bật như:
+ Chất liệu an toàn nên không gây kích ứng khi sử dụng.
+ Không bị đen viền nướu, khả năng thấu quang tốt nên giống với răng thật.
+ Màu sắc của răng tự nhiên, không bị đục.
+ Độ chống bám dính cao nên không bị đổi màu trong quá trình sử dụng.
+ Răng toàn sứ có độ bền cao, khả năng ăn nhai tốt.
+ Bảo tồn răng thật vì khi bọc răng chỉ cần mài với tỉ lệ rất nhỏ.
+ Tuổi thọ cao từ 20 – 25 năm, thậm chí có thể sử dụng suốt đời nếu chăm sóc tốt.
Chính vì những ưu điểm trên nên các nha sĩ thường khuyên bọc sứ răng cửa bằng răng toàn sứ. Dòng răng này có tính thẩm mỹ cao, tuổi thọ lâu dài.

Quy trình bọc sứ răng cửa tại nha khoa
Thông thường, quy trình bọc sứ răng cửa thường trải qua những bước sau:
- Bước 1: Khám tổng quát và kiểm tra tình trạng sức khỏe
Bác sĩ sẽ tiến hành kiểm tra tình trạng sức khỏe và răng miệng. Nếu gặp các vấn đề như sâu răng, viêm nha chu, viêm nướu sẽ được điều trị trước. Khi bệnh đã chữa dứt điểm mới tiến hành bọc sứ răng cửa.
- Bước 2: Tiến hành gây tê vùng điều trị và mài cùi răng
Trước khi bọc răng sứ, bác sĩ sẽ vệ sinh và sát khuẩn răng miệng. Nhằm hạn chế tình trạng nhiễm trùng trong quá trình thực hiện. Đồng thời, bác sĩ sẽ tiến hành mài răng để quá trình bọc răng sứ dễ dàng hơn. Trước khi mài răng, bạn sẽ được gây tê để không bị đau và ê buốt răng.
- Bước 3: Lấy dấu răng gửi về phòng Labo
Sau khi mài răng, bác sĩ sẽ lấy dấu răng và gửi về Labo để chế tác răng. Răng sứ sẽ được chế tạo dựa trên phần mềm CAD/CAM hiện đại. Nhằm đảm bảo tính thẩm mỹ và độ chính xác cao nhất.
- Bước 4: Bác sĩ chuyên khoa sẽ kiểm tra, so sánh và tiến hành gắn răng sứ cố định
Bác sĩ tiến hành gắn mão răng sứ lên răng thật. Sau đó, kiểm tra kỹ phần khớp cắn và tính thẩm mỹ. Nếu đã đảm bảo, bác sĩ sẽ tiến hành gắn răng sứ cố định.
Những lưu ý sau khi bọc sứ răng cửa bạn cần biết
Sau khi bọc sứ răng cửa, các bạn cần lưu ý một số vấn đề sau để tăng tuổi thọ của răng.
- Trong 1 – 2 tuần đầu sau khi bọc răng, nên hạn chế thực phẩm, đồ uống có màu đậm.
- Không nên ăn thực phẩm quá nóng, quá lạnh hay quá cứng. Bởi nếu ăn sẽ khiến răng dễ bị mẻ, vỡ, hỏng răng thật.
- Vệ sinh răng miệng ít nhất 2 lần/ngày bằng bàn chải có lông mềm. Đồng thời, sử dụng chỉ nha khoa để làm sạch mảng bám thức ăn trên răng.
- Hạn chế nghiến răng khi ngủ để không làm cho răng sứ bị mòn, vỡ.
Trên đây là những thông tin về bọc sứ răng cửa. Đây là giải pháp thẩm mỹ, hiệu quả giúp khắc phục khuyết điểm của răng. Nếu bạn còn thắc mắc cần được tư vấn, hãy liên hệ ngay với chúng tôi để được hỗ trợ.




