Bọc răng sứ kim loại là gì, có ưu nhược điểm nào, cách chăm sóc sau khi bọc ra sao? Đó là những câu hỏi mà Bọc răng sứ thẩm mỹ nhận được rất nhiều trong thời gian gần đây. Nội dung bài viết dưới đây sẽ giúp bạn đọc nắm rõ những thông tin về răng sứ kim loại. Hy vọng sẽ giúp ích cho bạn đọc trong việc lựa chọn dòng răng sứ phù hợp.
Bọc răng sứ kim loại là giải pháp giúp khắc phục hiệu quả những nhược điểm trên răng. Giải pháp này không chỉ mang tính thẩm mỹ cao mà còn có chi phí phải chăng. Do đó, nếu bạn đang có nhu cầu bọc răng sứ thì có thể lựa chọn dòng răng sứ này.
Nội dung chính
Răng sứ kim loại là gì?
Răng sứ kim loại là vật liệu xuất hiện từ rất lâu. Bọc răng sứ kim loại giúp cải thiện các khuyết điểm trên răng với giá phù hợp. Do đó, đây là lựa chọn của nhiều người khi gặp phải một số vấn đề về răng miệng. Được biết, răng sứ kim loại hiện nay có 3 loại, bao gồm có những loại như:
Răng sứ kim loại tiêu chuẩn (Răng sứ kim loại hợp kim)
Răng sứ kim loại tiêu chuẩn được cấu tạo bởi 2 phần. Phần sườn ngoài được làm từ hợp kim (Crom – Coban hoặc Niken – Crom). Còn phần bên ngoài là nhiều lớp sứ được nung ở nhiệt độ cao.
Dòng răng sứ kim loại này có đặc điểm thẩm mỹ tương đối, an toàn và độ bền lâu dài. Tuy nhiên, răng sứ kim loại tiêu chuẩn dễ bị tác động bởi axit trong khoang miệng. Nên sau một thời gian sẽ gây nên hiện tượng đen viền nướu.
Răng sứ kim loại titan
Cũng như răng sứ kim loại tiêu chuẩn, răng sứ kim loại titan cũng được cấu tạo bởi 2 phần. Phần sườn của răng sứ được làm từ hợp kim Niken – Crom – Titan. Còn phần ngoài sẽ được bao bọc bởi nhiều lớp sứ.
Răng sứ kim loại Titan có ưu điểm chính là không gây dị ứng, biến chứng khi sử dụng. Có thể kết hợp hài hòa với tổ chức xương trong cơ thể của người bệnh. Đặc biệt, dòng răng này không bị oxy hóa trong môi trường miệng, nhờ đó có tuổi thọ rất cao.
Răng sứ kim loại quý
Phần sườn được làm từ kim loại quý hoặc hỗn hợp kim loại quý như vàng, bạc, platin hay platinum. Còn phần vỏ răng sứ được phủ nhiều lớp sứ mỏng chồng lên nhau để tăng tính thẩm mỹ.
Răng sứ kim loại quý có ưu điểm là độ bền cao, tuổi thọ lâu, không bị đen viền nướu. Trong các loại răng sứ kim loại thì răng sứ kim loại quý có thẩm mỹ cao nhất. Do đó, chi phí bọc răng sứ kim loại quý cũng sẽ cao hơn so với 2 dòng còn lại.

Ưu điểm và nhược điểm của răng sứ kim loại
Tương tự như các dòng răng, răng sứ kim loại cũng tồn tại những ưu và nhược điểm riêng. Nhờ vào đó, người tiêu dùng sẽ có thể lựa chọn được sản phẩm phù hợp nhất với mình. Cụ thể những ưu điểm và nhược điểm của răng sứ kim loại như sau:
– Ưu điểm:
Mức chi phí bọc răng sứ kim loại thấp, phù hợp với nhiều đối tượng người dùng.
Việc bọc răng sứ kim loại đảm bảo chức năng ăn nhai, khớp cắn chuẩn.
Răng sứ kim loại quý giúp mang đến nét sang trọng, đẹp mắt, ít bị đen viền nướu.
Các sản phẩm răng sứ kim loại đều có độ bền và tuổi thọ tốt, bền vững cùng thời gian. Để làm được điều đó, bạn chỉ cần thực hiện chăm sóc, vệ sinh răng miệng đúng cách. Các chuyên gia cho biết, cụ thể loại răng này có tuổi thọ trung bình từ 9 – 10 năm.
– Nhược điểm
Răng sứ kim loại tiêu chuẩn dễ gây kích ứng nướu, đen viền nướu của người bệnh. Lúc này, các bạn cần phải đi phục hình lại để đảm bảo tính thẩm mỹ cũng như công năng.
Màu sắc của loại răng không được tự nhiên như loại răng sứ hoàn toàn.
Đặc biệt răng sứ kim loại quý có chi phí đắt, quy trình thực hiện cần sự chuẩn xác cao. Nên bọc răng sứ kim loại quý cần đòi hỏi bác sĩ có tay nghề cao, thiết bị hiện đại…

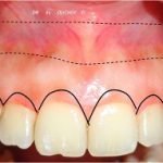
Răng sứ kim loại có thực sự làm đen viền nướu?
Răng sứ kim loại có làm đen viền nướu hay không, gây ảnh hưởng đến thẩm mỹ không? Đây cũng chính là một trong những điều khiến cho nhiều người đắn đo trong việc lựa chọn.
Theo các chuyên gia, răng sứ kim loại bị đen viền nướu là do khung sườn bên trong làm từ kim loại. Sau một thời gian sử dụng, kim loại này sẽ tác động với chất axit trong khoang miệng. Từ đó, chúng sẽ dẫn tới hiện tượng oxy hóa khử giữa kim loại và axit.

Ngoài ra, thói quen đánh răng không đúng cách sẽ khiến mảng bám thức ăn bám vào chân răng. Tình trạng này kéo dài cũng tạo axit với răng sứ kim loại. Hoặc những người đánh răng sai cách sẽ gây tụt nướu, răng không khít với mão sứ. Khiến phần sứ tại chân răng bị mòn, làm lộ phần khung sườn kim loại và gây đen viền nướu.
Như đã chia sẻ ở đầu bài viết, răng sứ kim loại tiêu chuẩn sau một thời gian sẽ gây đen viền nướu. Nguyên nhân do tác động oxy hóa của kim loại trong môi trường khoang miệng. Tuy nhiên, răng sứ kim loại quý thì rất ít khi bị đen viền, giúp khắc phục nhược điểm này.
Do đó, bạn đọc không nên quá băn khoăn, lo lắng về vấn đề đen viền nướu khi bọc răng. Hiện nay, sự xuất hiện của các công nghệ tiên tiến sẽ giúp hạn chế nhược điểm này.
Cách chăm sóc răng sứ kim loại hiệu quả
Việc chăm sóc răng miệng đúng cách sẽ giúp mang đến nhiều những lợi ích thiết thực. Bên cạnh một hàm răng khỏe mạnh, vệ sinh là giúp cho răng sứ có được tuổi thọ cao hơn. Muốn răng sứ kim loại có độ bền tốt, tuổi thọ lâu dài, cần lưu ý những vấn đề sau:
– Tạo cho bản thân một thói quen vệ sinh răng miệng thường xuyên và đúng cách. Nên đánh răng sau khi ăn bằng bàn chải mềm. Khi thực hiện nên thao tác theo chiều dọc, thay bàn chải 3 tháng/lần.
– Thường xuyên làm sạch răng miệng bằng chỉ nha khoa.
– Hạn chế ăn đồ ăn quá dai và cứng, và nên súc miệng sau khi ăn.
– Hạn chế hoặc bỏ hút thuốc lá, cà phê, đồ ăn nhanh…
– Thực hiện khám răng định kỳ 6 tháng/lần để phát hiện và khắc phục các vấn đề về răng.
Trên đây là tổng hợp những thông tin về bọc răng sứ kim loại bạn có thể tham khảo. Nếu như bạn đang tìm kiếm giải pháp phục hình răng thẩm mỹ, chi phí thấp… Bọc răng sứ kim loại tại bọc răng sứ thẩm mỹ chính là gợi ý phù hợp nhất dành cho bạn.




